Health
01/04/2025
Gomes Joseph
Научные шоу уже давно стали популярными развлечениями на различных мероприятиях. Их цель — не...
Healthy Food
Healthy Lifestyle
Hair Care
24/08/2023
Darbonne Dorothy
When it comes to nurturing your glorious mane, embarking on a Natural Hair journey...
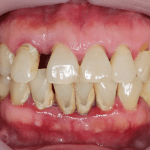
Dental
22/08/2023
Darbonne Dorothy
In the pursuit of maintaining optimal oral health, understanding the intricate causes of tooth...

